

“现在患者血压多少?”“收缩压285mmHg,请暂停操作,等麻醉师调整一下用药再继续”……近日,在我院金山院区的手术室里,泌尿外科主任医师叶烈夫端坐控制台前操控,目光紧盯高清裸眼3D屏幕,同时与150公里外的三明尤溪县总医院手术室中的我院泌尿外科主任医师吴进锋保持实时沟通。

▲叶烈夫在操作国产手术机器人
国产手术机器人的四条机械臂在叶烈夫的操控下正精准忙碌着,在患者肾上腺区域完成毫米级的精细操作。
此次为我省首次开展省级与县域之间的泌尿外科远程机器人手术,不仅顺利切除了功能活跃、危及生命的巨大嗜铬细胞瘤,更使基层地区患者在当地就能享受到省级专家的医疗服务,为县域层面推广机器人手术树立了典范。

▲林榕城副主任医师在三明尤溪县医院手术操作
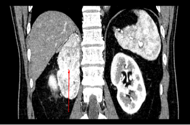
一颗土豆大肿瘤
让血压坐上“过山车”
59岁的陈先生(化名)5年前,体检发现右肾上腺区域有占位,但因没有明显症状,他便置之不理。
最近,陈先生体检发现占位不断变大,便前往当地医院看诊,才被确诊为右侧肾上腺嗜铬细胞瘤——此时肿瘤已长到10公分,就象一颗大土豆,被下腔静脉等重要血管包绕,成了一颗随时会引爆的“隐形炸弹”。

在医生的追问下,陈先生才恍然大悟,原来这些年困扰他的头晕和高血压的元凶,就是这颗嗜铬细胞瘤。
机器人上阵
破解手术“高难度”密码
得知陈先生的情况后,我院泌尿外科联合两院的内分泌科、麻醉科、心内科、病理科、ICU、医务部等科室开展术前多学科讨论,经过1个月严谨的术前药物准备,最终顺利为陈先生实施了这场远程手术。
切除嗜铬细胞瘤的手术充满了挑战,由于肿瘤血供丰富,周围血管密布,稍有不慎就可能引发大出血;更凶险的是,术中若挤压肿瘤,会导致大量激素释放,引发血压骤升,甚至诱发心脑血管意外。
对于这种极富挑战的高难度手术,传统腹腔镜手术难以保证手术的精细度,而国产手术机器人成了破题关键。它的3D视野可放大10-15倍,肉眼难以分辨的微小血管也能分毫毕现;灵活精准的机械臂可以过滤人手抖动,保证精准的切除与缝合操作;因而能将手术风险降至最低。
“在远程手术中,操作延迟时间通常需要控制在200ms以内,我国凭借强大的信息基础设施建设,在远程机器人手术领域已领跑全球,本次手术术中延迟不足10ms,术者完全觉察不到 ”,吴进锋介绍。此次手术的成功,不仅彰显了国产5G机器人的硬核实力,也契合国家十五五规划全面实施“人工智能+行动”的号召,更是为我省医联体资源下沉提供了一个可靠的分级诊疗范式,今后县级医院能直接接受省级医院的远程手术会诊和实时教学,这对提升基层诊疗能力,保障基层百姓健康具有重要意义。
10%高血压是继发性
仅用降压药控压是治标不治本
提到高血压,很多人第一反应与遗传或不良生活习惯有关,但叶烈夫表示,约10%的高血压其实是继发性的——就是由其他疾病引发,嗜铬细胞瘤便是其中最凶险原因之一。
这类高血压患者往往用了各种降压药,都无法控住血压,患者还常伴随头痛、头晕、心慌等症状,若不及时切除元凶,可能诱发心衰、严重心律失常、脑出血、脑梗等致命并发症。
叶烈夫提醒,若出现严重高血压、头痛心悸或高血压用药控制不佳等情况,一定要及时做影像检查,排查肾上腺肿瘤等潜在病因。早发现、早手术,才能将这个隐患彻底排除。


来源:福建卫生报
编辑:许陈玉
责编:叶烈夫 陈钰涛
编审:宁宇

